Tooth sensitivity: Facts vs. myths!
- Sneha Dental Care

- Jul 29, 2025
- 2 min read

Tooth Hypersensitivity: What It Is and How to Treat It
Does that cold sip of water or sweet treat send a zing through your teeth? You might be dealing with tooth hypersensitivity—and you’re not alone!
What is Tooth Hypersensitivity?
Tooth hypersensitivity (or dentin hypersensitivity) is a sharp, often sudden pain you feel when your teeth react to certain triggers like temperature changes, sweetness, or pressure. It’s a common dental woe but totally manageable!
Why Does It Happen?
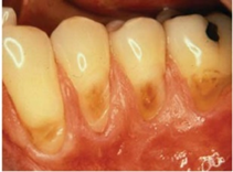
Your teeth aren’t trying to be dramatic—they’re reacting to exposed dentin beneath the enamel. This exposure can happen for several reasons:
Enamel erosion: Think acidic foods, beverages, or acid reflux.

Overbrushing: Too much pressure can wear down enamel.

Gum recession: When gums pull back, tooth roots get exposed.

Tooth grinding (bruxism): Clenching or grinding wears teeth down.
Cervical decay: Cavities near the gumline.
Cracked or chipped teeth: Tiny fractures can trigger sensitivity.

Temporomandibular joint (TMJ) issues: Misaligned jaw movements may contribute.
Poor oral hygiene: Plaque and tartar buildup can irritate the gums.

What Triggers the Pain?
Your teeth might throw a tantrum over:
Cold, hot, sweet, or acidic foods and drinks
Chilly winds
Toothbrush contact or chewing pressure
How to Treat and Tame the Sensitivity
Good news—there are lots of ways to soothe sensitive teeth:
Desensitizing toothpaste: A simple switch that can block pain signals.
Fluoride treatments: Strengthens enamel and guards against decay.
Bonding or sealants: Covers exposed dentin to keep nerves calm.
Nightguards: Protect your teeth from nighttime grinding.

Gum grafts: A solution for severe gum recession.
Diet tweaks: Cut down on acidic foods and drinks.
Gentle brushing: Use a soft-bristled toothbrush and go easy.
Lifestyle changes: Avoid abrasive toothpaste and switch up your routine.
Patient education: Know the dos and don’ts—knowledge is enamel’s best friend!
Professional help: When in doubt, visit your dentist for tailored advice.

If you wish to fix an appointment for dental consultancy at Sneha Dental Care please feel free to call us (+91-9429284575) and fix an appointment.





